Missing teeth can affect far more than just your smile — they can impact your ability to eat, speak, and feel confident in everyday life. At Park Center Family Dentistry, Dr. Tran provides comprehensive implant dentistry services, from single tooth replacement to full-arch restoration. As one of the few general dentists in the Laurel, MD area who places and restores implants in-house, Dr. Tran can guide you through every step of the process without the need for outside referrals.
Whether you are missing one tooth or an entire arch, dental implants offer a permanent, natural-looking solution that preserves your jawbone and restores full function. During your consultation, Dr. Tran will evaluate your oral health, discuss your goals, and recommend the implant option that best fits your needs.
Single Dental Implants

A single dental implant is the ideal solution when one tooth is missing or damaged beyond repair. The implant consists of a titanium post that is surgically placed into the jawbone, where it fuses naturally with the surrounding bone over several months. Once healed, a custom porcelain crown is attached to the post, creating a restoration that looks, feels, and functions just like a natural tooth. Unlike a traditional bridge, a single implant does not require altering the adjacent healthy teeth, making it the most conservative and long-lasting replacement option available.
Multiple Dental Implants

When several teeth are missing in the same area, multiple implants can be placed to support a fixed bridge or series of individual crowns. Rather than placing one implant per missing tooth, Dr. Tran strategically positions implants to provide maximum support with minimal surgery. This approach restores your ability to chew and speak naturally while preserving the bone structure that would otherwise deteriorate after tooth loss. Multiple implants are a durable, long-term alternative to removable partial dentures.
Implant-Supported Overdentures

If you currently wear a traditional denture and struggle with slipping, discomfort, or difficulty eating, an implant-supported overdenture may be the answer. By placing two to four implants in the jaw, Dr. Tran can anchor your denture securely in place using a snap-on attachment system. The result is a removable prosthetic that stays firmly seated throughout the day, giving you the confidence to eat, laugh, and speak without worry. Overdentures are an excellent option for patients who want significantly improved stability without the cost or complexity of a full fixed restoration.
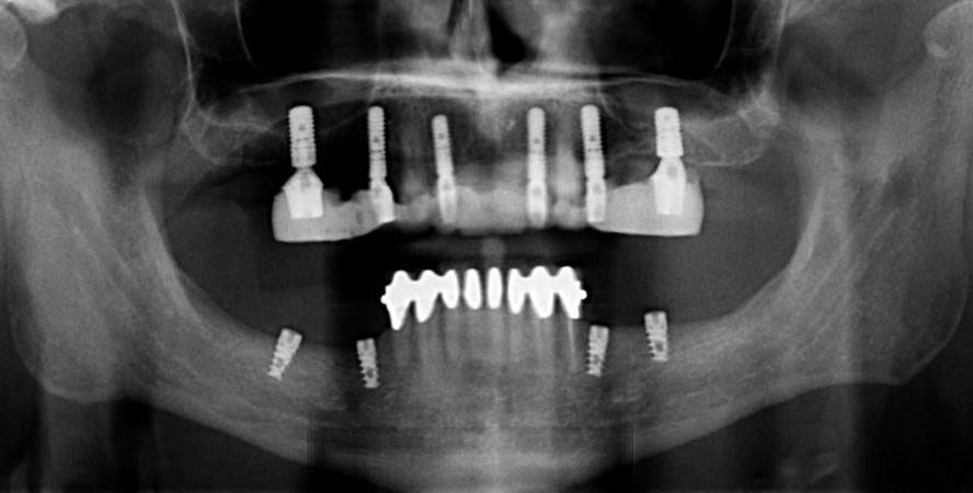
All-on-X Full-Arch Implants

For patients who are missing most or all of their teeth, the All-on-X technique offers a life-changing solution. This innovative approach uses as few as four to six strategically angled implants to support a complete, fixed arch of teeth. Unlike traditional dentures, an All-on-X restoration is permanently secured to the implants and does not need to be removed for cleaning. Patients enjoy a full set of beautiful, functional teeth that feel remarkably natural. Dr. Tran will work closely with you to determine whether All-on-4, All-on-5, or All-on-6 is the right approach based on your bone density, anatomy, and personal goals.
If you are considering dental implants, we invite you to schedule a consultation with Dr. Tran. Together, we will find the solution that helps you smile, eat, and live with confidence again.